• HOME Koningsdag
  • PRAKTIJK
    • ONZE KLINIEK
    • ONS TEAM
    • TECHNOLOGIEËN IN HUIS
      • CBCT-SCAN
      • GUIDED CHIRURGIE
      • DIGITAL SMILE DESIGN
      • FOTOGRAFIE
    • CASUSSEN
    • PUBLICATIES
    • VACATURES - Tandartsassistent(e)
  • NIEUWE PATIËNTEN
  • ANGSTVRIJE ZORG
  • INFORMATIE
    • SPOED/PIJNKLACHTEN
    • UW EERSTE BEZOEK
    • TARIEVEN EN NOTA'S
    • WERKWIJZE
    • SPECIALISATIES
      • FACINGS
      • IMPLANTOLOGIE
      • IMPLANTOLOGIE - KLIKGEBIT
      • BOTOPBOUW
      • PLASTISCHE PARO-CHIRURGIE
      • KNARSPLAAT
      • RESTAUREREN
      • SLIJTAGE
      • TANDEN BLEKEN
    • ALGEMENE BEHANDELINGEN
    • KLACHTEN - SUGGESTIE
  • CONTACT
0513 442 004

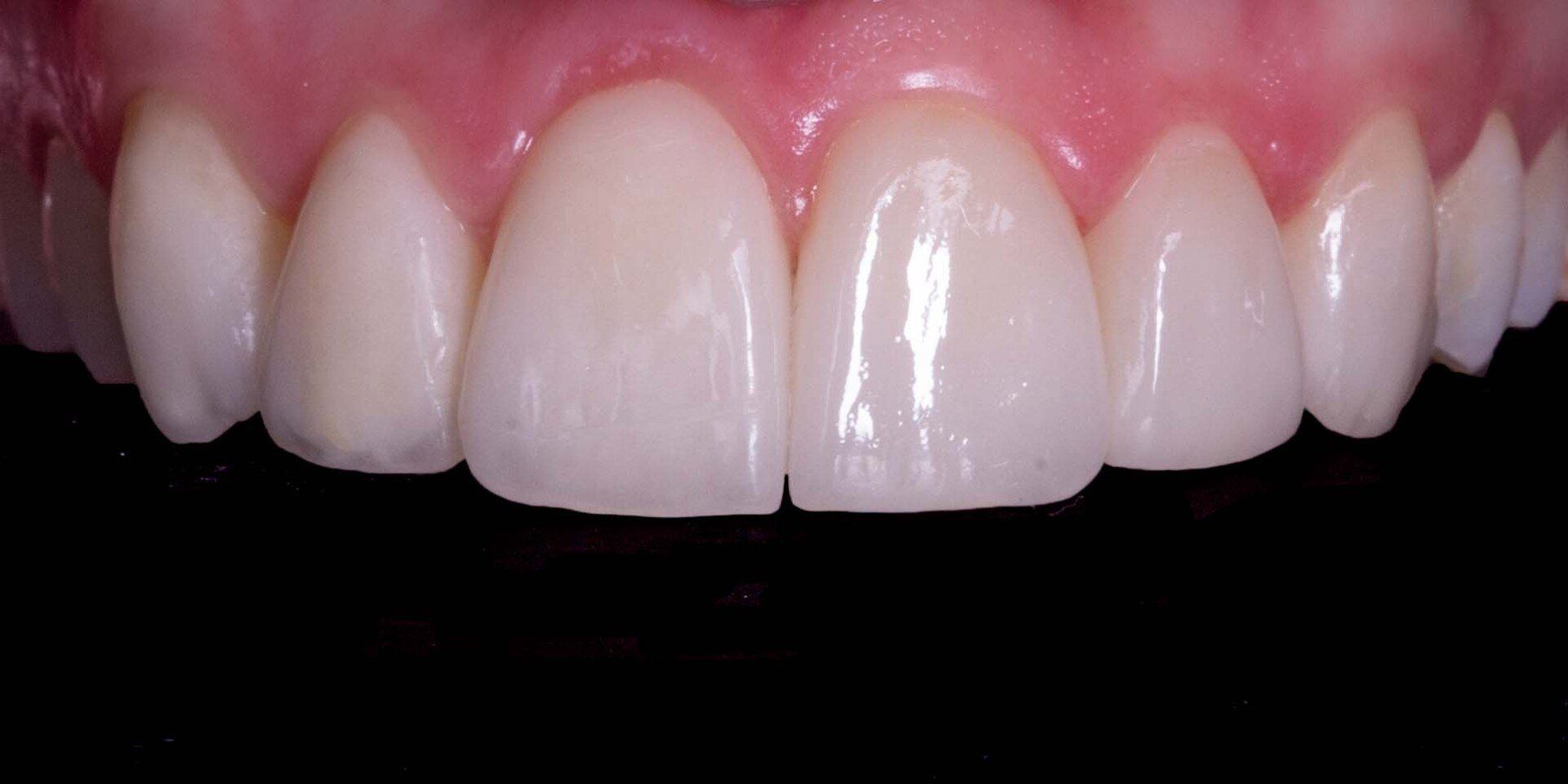
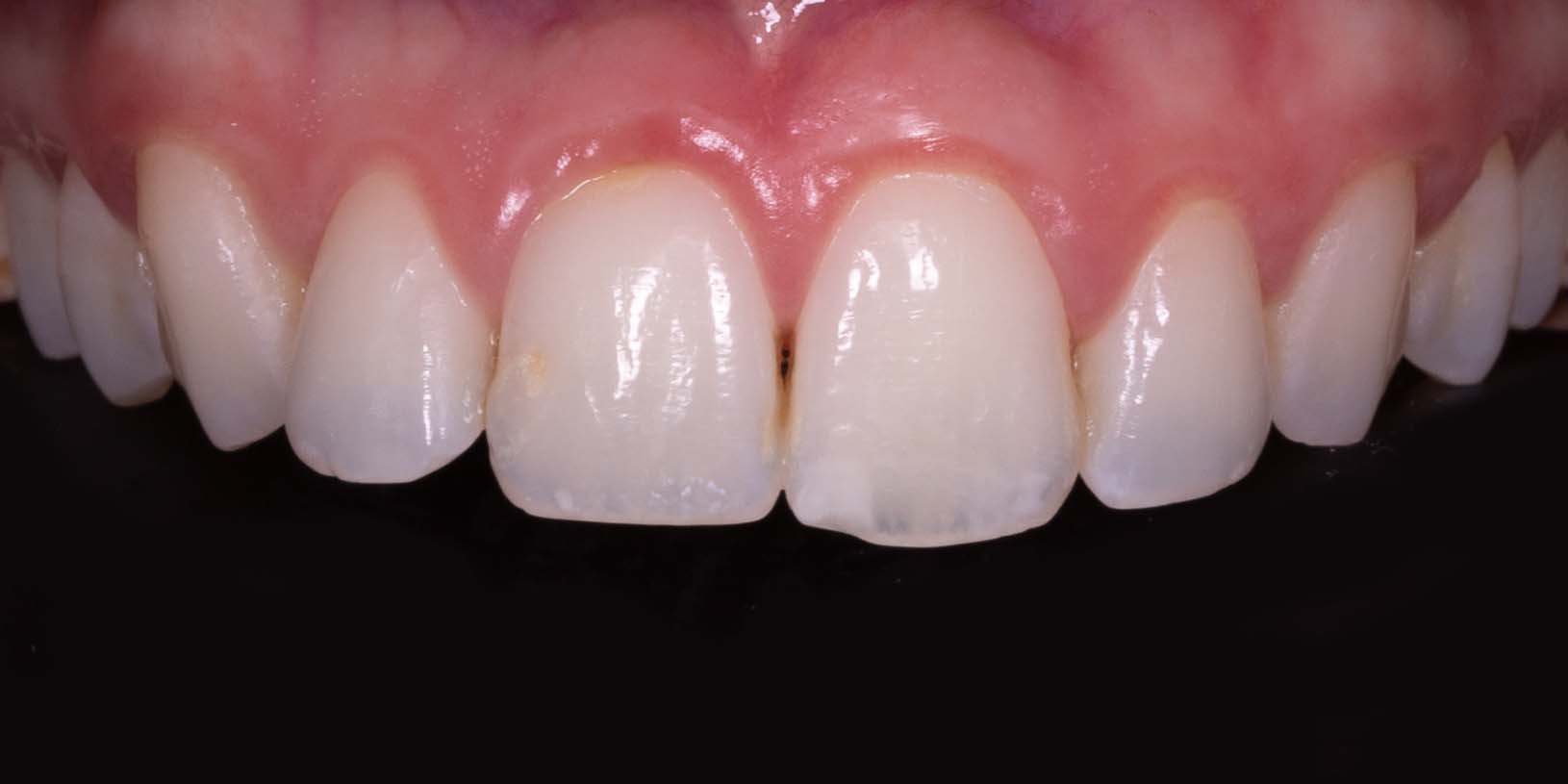
CASE8

Button
Button
Button
INSCHRIJVEN
CONTACT
 ☏ 0513 442 004
📧 info@deheerenveensetandarts.nl

📍 De Heerenveense Tandarts
K. R. Poststraat 1 A
8441 EL - Heerenveen

KVK 981 450 37
SPOED - PIJNKLACHTEN
Sitemap                      Copyright 2022 De Heerenveense Tandarts
Share by: